減肥診所-卡路里計劃減肥菜單

醫師!我小便顏色好像紅紅的…

2022.07.24

最新消息
80幾歲男性,
主訴為近日小便顏色紅紅的,
仔細詢問沒有明顯疼痛不舒服感、過去亦沒有腎結石病史,
於是安排了尿液檢查,
尿液檢查呈現有血尿現象,
於是進一步安排了腎臟及膀胱超音波,



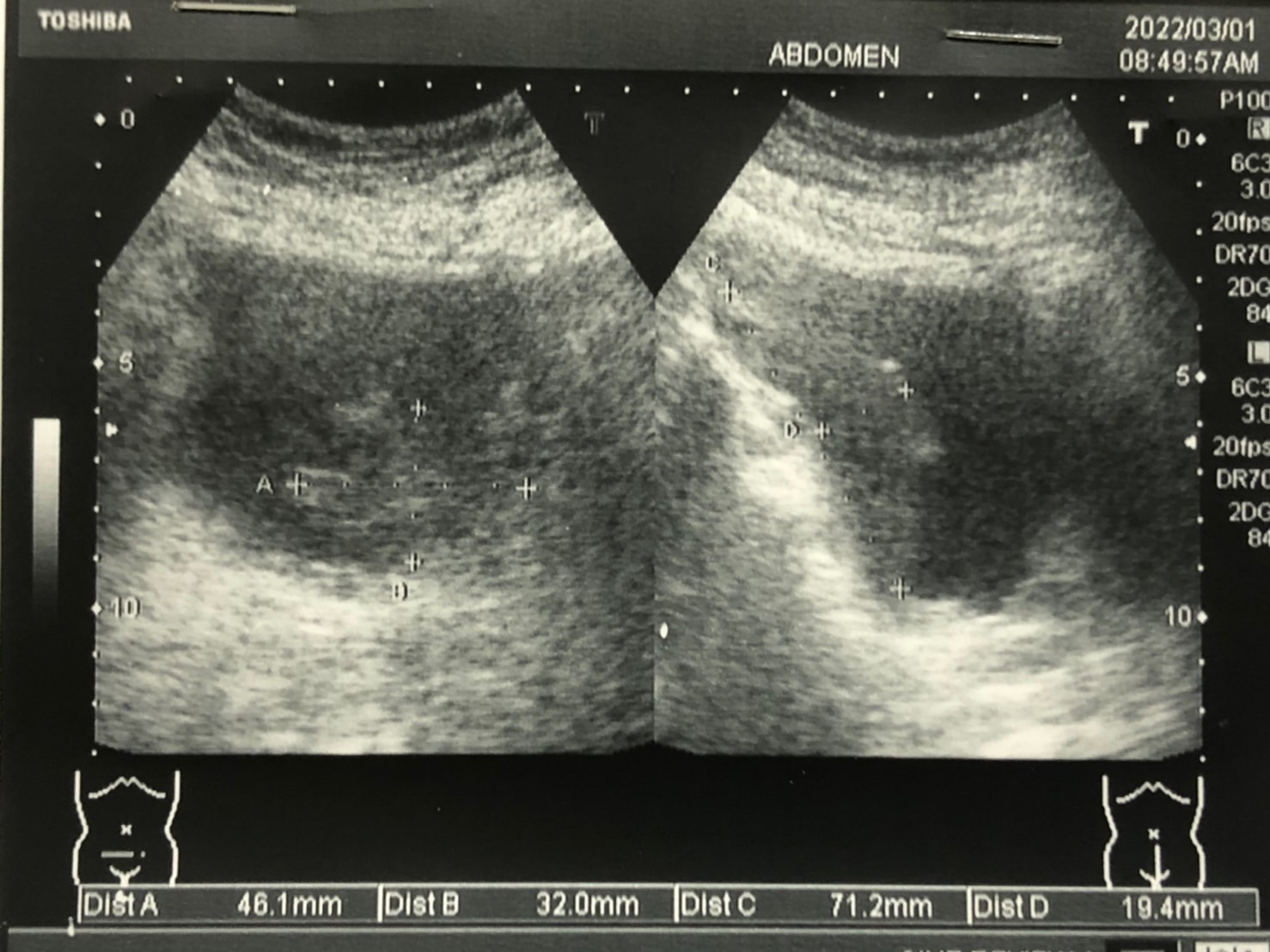
如圖,於超音波下明顯看到了膀胱裡有不規則腫瘤,
當下立即轉診病人至醫院接受進一步評估及治療。
後續,醫院確診為膀胱癌,病患於醫院已接受妥善的治療。

血尿原因很多包括泌尿道感染結石、攝護腺問題、泌尿道的惡性腫瘤等。有時連口服的一些藥物或是食物都可能會造成尿液看起來紅紅的。排除掉藥物及食物造成的,無痛性的血尿更是要特別注意,因為有可能就是大家最害怕的泌尿道惡性腫瘤。
一旦發現血尿,還是建議大家進一步的檢查喔!及早發現問題就可及時接受治療。
 

TEL.06-2146847

台南市中西區南門路179-5號

LINE ID:@179ygyvg

營業中

  • ※星期一至星期五
  • 上午 08:30 - 12:00.下午 03:00 - 06:00.晚 上06:30 - 09:00
  • ※星期六上午 08:30 - 12:00
  • ※星期日公休