減肥診所-卡路里計劃減肥菜單

持續反覆上腹悶痛?是膽結石作怪而不是胃痛!

2022.03.29

最新消息
醫師我肚子痛好久了!反覆吃胃藥好幾個月都沒有好。」
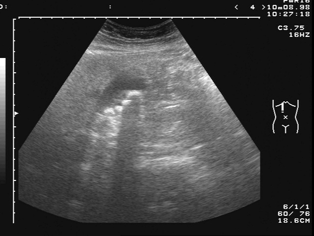
進行腹部超音波檢查發現:膽囊脹大,併有膽結石。超音波下,有明顯Murphy’s Sign
細問下,病患已反覆症狀數月,有時會痛至右肩胛處,疼痛感在飯後尤為明顯。
疑似為膽結石引起的急性膽囊炎,故開立轉診單至醫院評估手術必要性。

數個星期後,減重診所病患回診並告知當下醫院也確診為急性膽囊炎,因已反覆發炎數次,評估後進行腹腔鏡手術,幾天後即出院,術後除了有些許腹瀉,其餘恢復狀況都還不錯。



膽結石形成原因可能為膽汁中的膽固醇過多、膽汁中膽紅素過多或膽囊未能確實淨空。膽結石成分可以是膽固醇結石、色素性結石及混和性結石。

衛福部健保署統計,2016年後膽結石就醫人數逐年上升。國內調查推估約5~10%台灣人有膽結石。40歲以上女性的罹患率更高達25~30%。

●誰容易得結石?
膽結石好發族群為有「4F」特徵者,即Fat肥胖、Female女性、Forty40歲左右、Fertile未停經。
統計學上,女生的機率為男生的2~3倍。
家族史也是一個重要的因子。
另外懷孕、糖尿病、肝硬化、快速減重、服用特定藥物等也是容易導致膽結石生成的原因。

●有膽結石平常會痛嗎?我會有感覺嗎?
膽結石常常是沒有症狀的,在台灣約70%患者終生沒有症狀,所以有的人終其一生都沒疼痛過。
約有20%會右上腹痛,10%則因結石堵住膽汁分泌而引起急性膽囊炎。
膽結石一旦卡住膽道,阻礙了膽汁排出的時候,會造成上腹痛,就是所謂的膽絞痛。

●發現膽結石時需要手術馬上拿掉嗎?
因為膽結石一般是沒有症狀的,此時就是可以和膽結石和平共處,不須特別手術處理喔。
但如果曾發生過膽囊炎,就需要考慮手術,因為大多數病人,一旦發生過一次,就很容易會再次發生。
膽結石手術有內科的方式,也有外科手術方式(傳統開刀方式及腹腔鏡方式),一般是不是需要接受手術治療,醫師會根據患者膽囊炎的程度及原本的身體狀況來做決定及建議。

●可以抽血發現膽結石嗎?
膽結石是無法抽血發現的,通常被發現是因為做腹部超音波不小心發現的。

●會不會有惡性變化?
膽結石基本上都是良性的,一般不會有惡性的變化。
但膽結石若讓膽囊一直出現發炎反應,經年累月慢性發炎,即有可能變成膽囊癌。70~90 %膽囊癌病人都合併有大於3公分、有症狀、時間長的膽結石。

●飲食上我需要注意什麼?
膽結石的形成因素有許多是因為體質造成,比較難控制。
但飲食及生活習慣的改善還是有助於預防和治療膽結石。
肥胖是膽結石的高危險因子,因此體重的維持及平時多運動也很重要。
另因膽結石成分有部分為膽固醇成分,降低膽固醇的攝取,也是可以減少膽固醇結石的形成。
飲食不油膩,別空腹過久,膽囊能正常收縮,膽汁就不易沉積形成膽結石。

●要多久追蹤一次?要怎麼追蹤呢?
追蹤方式以腹部超音波為主。因腹部超音波,其敏感度可高達90-95% 。
建議至少半年至一年追蹤一次腹部超音波。
 

TEL.06-2146847

台南市中西區南門路179-5號

LINE ID:@179ygyvg

營業中

  • ※星期一至星期五
  • 上午 08:30 - 12:00.下午 03:00 - 06:00.晚 上06:30 - 09:00
  • ※星期六上午 08:30 - 12:00
  • ※星期日公休